Why FP3D
With Carbon’s FP3D resin, dental labs can now deliver you flexible partials through a modern digital workflow—even when starting from your traditional impressions. Once a flexible partial is digitized, it can be updated or reprinted from the archived design if lost or damaged. This streamlined process saves time and reduces complexity to keep patients smiling.
Accuracy & Fit
FP3D utilizes the high print precision of Carbon DLS™ technology known for its accuracy reducing the copy error as compared to traditional analog fabrication*.
Durability You Can Trust*
Tested to last beyond 3 years — giving your patients confidence for long-term performance.
Better Results
The enhanced retention, low water sorption and improved polishability help you deliver natural results faster and more consistently than traditional methods*
Seamless Digital Workflow
Digitized flexible partials and digital archiving provide precision accuracy and efficiency, enabling clinical productivity.
* Data on file. Available upon request. Based on internal testing.
Performance Data
FP3D Outperforms the Competition in Long-Term Fatigue Testing
Single-cure 3D printed flexible partial resins often lack the molecular architecture required to withstand constant cyclic stress. Carbon engineered a proprietary dual-cure chemistry that increases durability after thermal activation. Get the accuracy of a 3D print with the fatigue resistance of a traditional injected resin.The result is a 3D printed partial that performs reliably for over three years.
If FP3D lasts similar to DuraFlex and much longer than other 3D printed flexible partials, this is very important. It sounds like the other brands should market as a "temporary partial denture resin" as I would be embarrassed to provide a restoration that only lasted for that short period of time.
Shaun Janvier, DMD — Sanford ME
How It Works
Prescribe FP3D. A Carbon-Certified Lab Handles the Rest.
You don't need new equipment or a new workflow. If your lab produces flexible partials with FP3D resin, you prescribe it exactly like any other partial — and your patient gets something meaningfully better.
01
You Prescribe
Send your impression and prescription requesting FP3D to a Carbon-certified lab. FP3D works from digital scans or traditional impressions.
02
Your Lab Prints
A Carbon-certified lab fabricates the partial using Carbon's DLS process and FP3D resin — with the precision and consistency that digital manufacturing delivers.
03
The finished partial is delivered to your practice. And if it's ever lost or damaged, the digital file is archived. The lab can reprint from the same design without starting over.
Available Shades
Blends Naturally. Every Time.
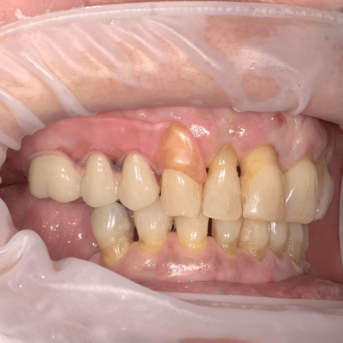
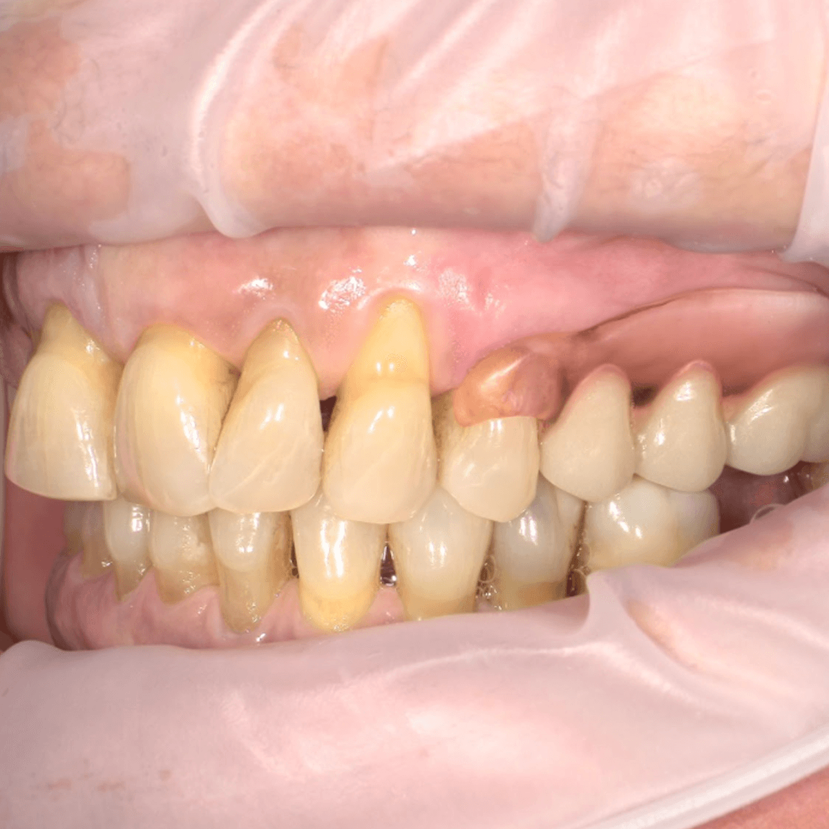
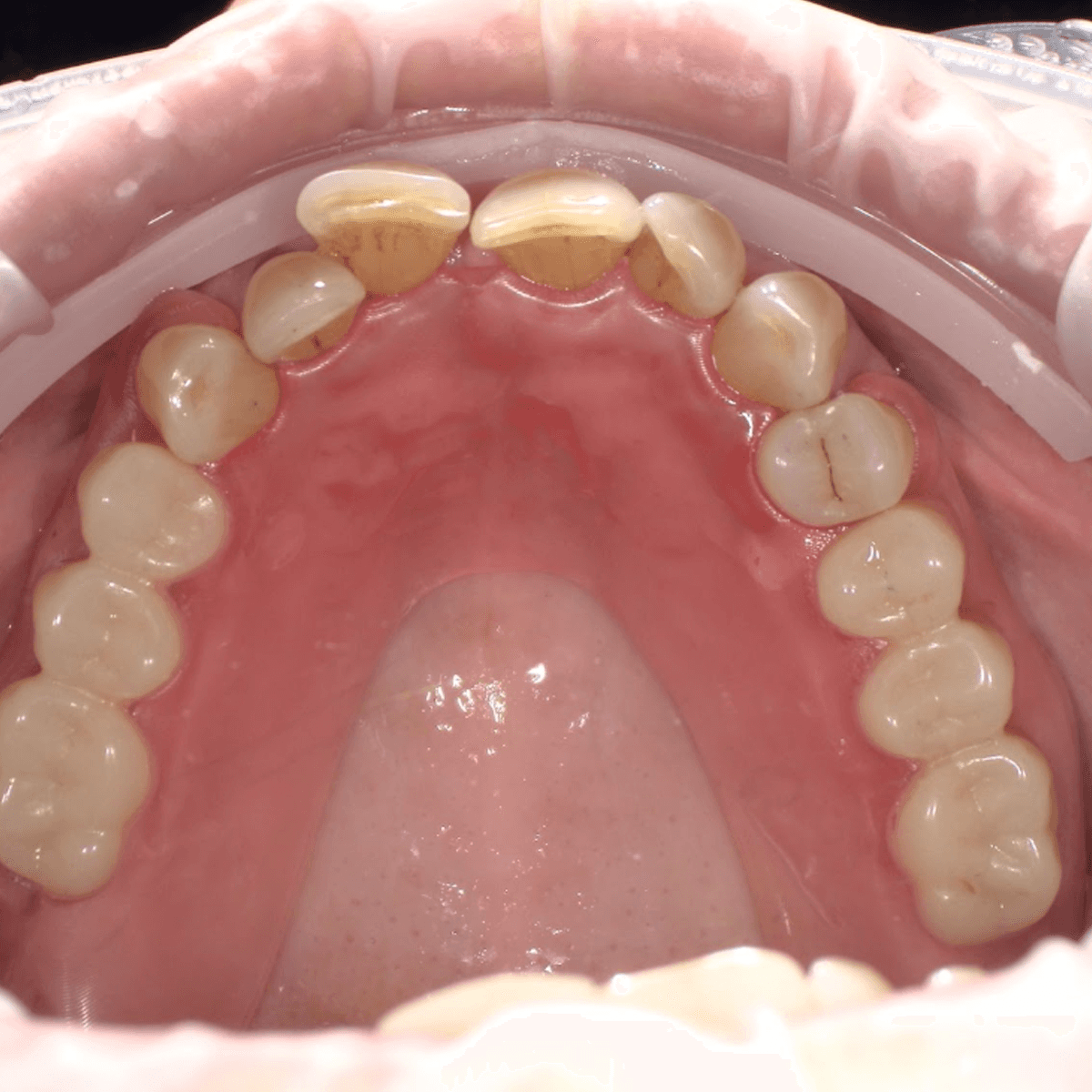
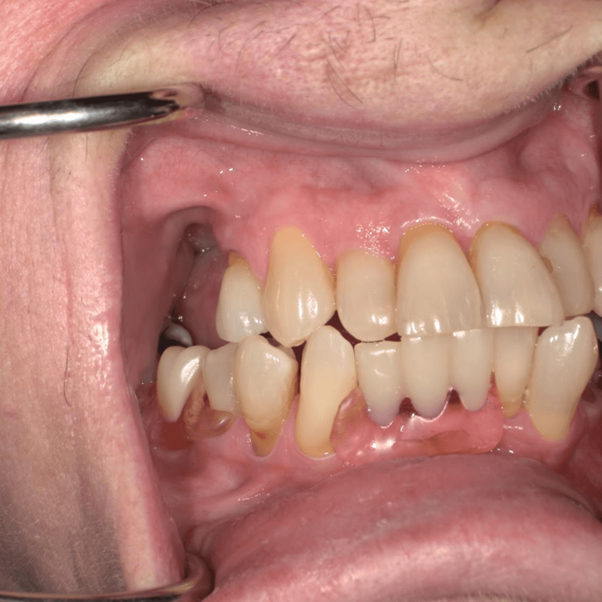
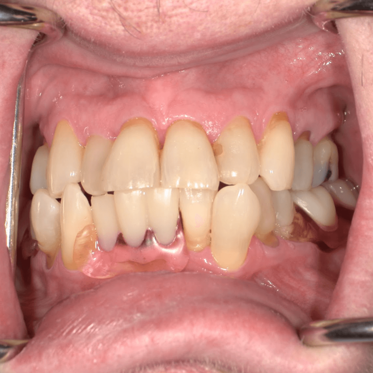
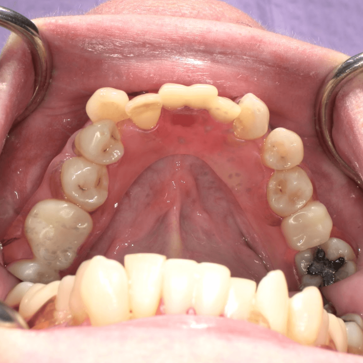
Clinical Results
Results may vary by patient. Case images courtesy of Dr. Shaun Janvier, Sanford ME











